

福岡市東区の医療法人あらかわ歯科・矯正歯科クリニック/矯正歯科・一般歯科・小児歯科
TEL.092-682-1818

矯正治療の特徴

矯正歯科
矯正歯科なら、医療法人 あらかわ歯科・矯正歯科クリニックにお任せください!
矯正歯科治療は、歯並びやかみ合わせが悪い(不正咬合)にを治して虫歯や歯周病になるのを防ぎ、発音を明瞭にするとともに、食物をよくかめるようにして、健康を一段と増進させようとする治療です。
医療法人 あらかわ歯科・矯正歯科クリニックの矯正治療の特徴
1.「矯正歯科指導医」による矯正治療
当クリニックは日本矯正歯科学会認定 指導医・認定医および日本成人矯正歯科学会認定 総合指導医・臨床指導医(旧専門医)・認定医の資格をもつ院長が小児から成人に至るあらゆる症例の専門的な矯正治療を行っております。
2.「日本矯正歯科学会指定臨床研修機関」
当クリニックは日本矯正歯科学会より矯正歯科認定医の育成および指導を行う臨床研修機関(登録No.182)に指定されております。
現在、福岡市東区では当クリニックと九州大学病院矯正歯科の2施設(※2020年4月時点)が指定を受けておりますので、大学病院などに在籍する矯正医が研修に来られることもあります。
3.「矯正歯科」と「一般歯科」の総合診療
当クリニックは矯正歯科を専門とするクリニックであると同時に一般的な歯科治療(虫歯、歯周病、入れ歯など)や小児歯科治療なども行っているため、矯正治療上必要となった抜歯や虫歯治療なども当クリニックにて行うことができます。ただし、他歯科医院からのご紹介で矯正治療に来院された患者さまに関しては、抜歯や虫歯治療が必要となった場合、紹介元の歯科医院に依頼させていただきます。
矯正歯科の症例
■叢生(歯の重なり・ガタガタ)
治療前

正面

右側面

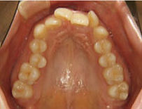
上顎
治療後

飛び出ていた犬歯もならび、ズレていた上下顎前歯の中心も一致しました。

上下奥歯のすき間もなくなり、緊密にかみ合っています。

前歯のガタガタもなくなり、きれいにそろいました。
主訴:ガタガタが気になる
所見:犬歯の低位唇側転位、叢生
治療方法:上下非抜歯、歯列拡大
治療の費用:
基本施術料
580,000円
(税込638,000円)
処置料
3,500円×30回=10,5000円
(税込115,500円)
通院回数:30回
治療期間:2年6カ月
治療内容:マルチブラケット装置による非抜歯治療
治療でのデメリット:
歯根吸収(今回の治療では歯根吸収なし)
歯肉退縮(今回の治療では歯肉退縮なし)
治療前

正面

右側面

上顎
治療後

上の歯で隠れていた下顎前歯が見えるようになり、正しいかみ合わせになりました。

上顎前歯の内側への傾斜は改善され、かみ合わせも良くなりました。

前歯列の幅も広くなり、重なっていた前歯もきれいになりました。
主訴:歯が重なっている・かみ合わせが深い
所見:上下顎前歯ならびに臼歯部叢生、過蓋咬合
治療方法:上下両側第一小臼歯抜去
治療の費用:
基本施術料
580,000円
(税込638,000円)
処置料
3,500円×26回=91,000円
(税込100,100円)
通院回数:26回
治療期間:2年3カ月
治療内容:マルチブラケット装置による上下抜歯治療
治療でのデメリット:
歯根吸収(今回の治療では歯根吸収なし)
歯肉退縮(今回の治療では歯肉退縮なし)
■開咬(上下前歯の離開)
治療前

正面

右側面

上顎
治療後

かみ合っていなかった上下の前歯は
きれいにかみ合うようになりました。

側方歯のすき間も閉鎖し、奥歯も正しいかみ合わせになりました。

前歯のガタガタもきれいになりました。
主訴:前歯がかみ合っていない. 八重歯がきになる
所見:前歯開咬、叢生
治療方法:上顎犬歯抜去 下顎第一小臼歯抜去
治療の費用:
基本施術料
580,000円
(税込638,000円)
通院回数:15回
治療期間:1年3カ月
治療内容:マルチブラケット装置による上下抜歯治療
処置料
3,500円×15回=52,500円
(税込57,750円)
治療でのデメリット:
歯肉退縮(今回の治療では歯肉退縮なし)
矯正歯科の流れ
STEP1.無料カウンセリング(約30分)
歯 並び、かみ合わせ、習癖(くせ)などを診察し、治療開始の時期や期間、治療費について詳しく説明いたします。
どのような歯並びが気になるのか、どのくらいの期間で治療が終了したいのか、希望する矯正装置(外側、内側の装置)など、どんな些細なことでも結構です。お気軽にご相談ください。
STEP2.精密検査(約1時間~1時間30分)
診断のための検査 を行います。
歯型の採取
口や顔の写真、
顎や顔のレントゲン写真 など
STEP3.診断および治療方針の説明(約30分)
精密検査での結果をご報告いたします。(未成年者の場合、保護者の方同伴でお願いいたします。)
検査での資料をもとに、現時点での問題点、今後の治療計画(期 間や費用)、治療に必要な矯正装置、などについて説明いたします。
治療計画に同意いただきましたら、治療開始の準備をいたします。
STEP4.矯正装置装着
さあ治療のスタートです。矯正治療は患者さまの協力なしでは思うような結果が得られないことがあります。いわば患者さまと治療するわたしたちスタッフとの二人三脚です。
今まではうまく物が噛めなかったり、発音がしにくかったり、口元が気になって思いっきり笑えなかったあなたも、美しい歯並びと良いかみ合わせになることで、健康的な食生活とすばらしい笑顔を獲得しましょう。
自由診療料金について
治療相談無料
検査および診断料
30,000円
(税込 33,000円)
処置料(月1回)
3,500円
(税込 3,850円)
小児矯正
一期治療
250,000円
(税込 275,000円)
治療期間目安:6ヶ月~2年
治療回数目安:6回~24回
リスク・副作用:
※矯正治療は動的治療(歯を動かす期間)終了後に後戻りを防ぐ目的で、マウスピース等で固定を行う保定期間(数年)が必要です。
※矯正治療のための処置料および抜歯については、保険給付外となります。
※症例によっては、外科治療(顎の手術)、または矯正治療前後に補綴処理(銀歯やブリッジ等)が必要となる場合があります。
※一度装着した矯正装置は治療終了まで取り外すことはありません。また、患者さまの不注意による矯正装置の紛失または破損については修理・再生料として、実費を申し受けることがあります。
二期治療
300,000円
(税込 330,000円)
治療期間目安:1ヶ月~3年
治療回数目安:12回~36回
リスク・副作用:
※矯正治療は動的治療(歯を動かす期間)終了後に後戻りを防ぐ目的で、マウスピース等で固定を行う保定期間(数年)が必要です。
※矯正治療のための処置料および抜歯については、保険給付外となります。
※症例によっては、外科治療(顎の手術)、または矯正治療前後に補綴処理(銀歯やブリッジ等)が必要となる場合があります。
※一度装着した矯正装置は治療終了まで取り外すことはありません。また、患者さまの不注意による矯正装置の紛失または破損については修理・再生料として、実費を申し受けることがあります。
成人矯正
メタルブラケット
550,000円
(税込 605,000円)
治療期間目安:2年~4年
治療回数目安:24回~48回
リスク・副作用:
※矯正治療は動的治療(歯を動かす期間)終了後に後戻りを防ぐ目的で、マウスピース等で固定を行う保定期間(数年)が必要です。
※矯正治療のための処置料および抜歯については、保険給付外となります。
※症例によっては、外科治療(顎の手術)、または矯正治療前後に補綴処理(銀歯やブリッジ等)が必要となる場合があります。
※一度装着した矯正装置は治療終了まで取り外すことはありません。また、患者さまの不注意による矯正装置の紛失または破損については修理・再生料として、実費を申し受けることがあります。
クリアブラケット
580,000円
(税込 638,000円)
治療期間目安:2年~4年
治療回数目安:24回~48回
リスク・副作用:
※矯正治療は動的治療(歯を動かす期間)終了後に後戻りを防ぐ目的で、マウスピース等で固定を行う保定期間(数年)が必要です。
※矯正治療のための処置料および抜歯については、保険給付外となります。
※症例によっては、外科治療(顎の手術)、または矯正治療前後に補綴処理(銀歯やブリッジ等)が必要となる場合があります。
※一度装着した矯正装置は治療終了まで取り外すことはありません。また、患者さまの不注意による矯正装置の紛失または破損については修理・再生料として、実費を申し受けることがあります。
※治療費については改訂されることもありますので御了承ください。